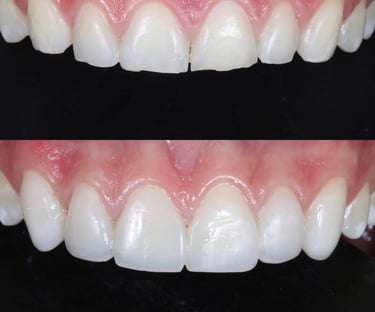
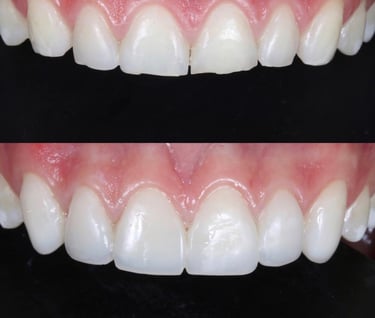
Lentes de Contato e Cerâmicas Dentais
Quando o assunto é a estética do sorriso, a lente de contato dental é a grande estrela. Querida por quem busca melhorar definitivamente a cor e a forma dos dentes. Quando escolher a cerâmica?
Resinas Dentais
A Resina é um material muito versátil e por isso amplamente utilizado desde pequenas restaurações à grandes reabilitações de bocas completas. Quer saber se a resina é indicada para seu sorriso?
Clareamentos Dentais
O clareamento dental não somente torna os dentes mais brancos, mas tem a capacidade de dar realce e deixar o sorriso mais jovem. Quer saber qual o melhor clareamento?






Reabilitação Oral
A reabilitação Oral é indicada quando há grandes mudanças requeridas no tratamento. Alinhamentos de todos os dentes e uniformização da forma e cor dos dentes. Precisa de uma mudança extrema?


Principais Tratamentos
Dra Carolina Clausson CROSP 82598
Dra Carolina Clausson CROSP 82598
Dra Carolina Clausson CROSP 82598
Dra Carolina Clausson CROSP 82598
