ClareamentoDental
Tipos de clareamentos diferentes podem ser indicados levando em consideração o perfil e respeitando rotina de cada paciente. Mas, é importante saber que sensibilidade durante o clareamento não é normal, como muitos pensam, e que, na nossa clínica utilizamos técnicas de clareamento que respeitam o seu conforto e saúde durante todo o tratamento e ainda, não restringem a sua rotina alimentar.
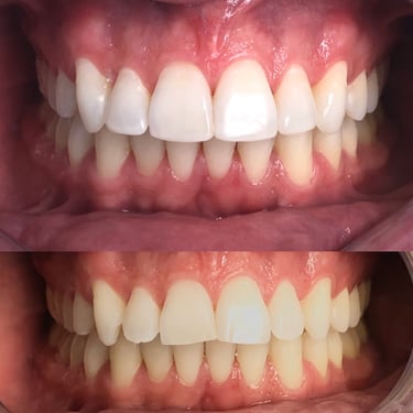
Todo clareamento é realizado com técnicas embasadas cientificamente. Isso reflete em resultado e saúde mantidos a longo prazo.
O Clareamento é resultado de um gel a base de peróxido (Carbamida ou Hidrogênio) em contato com a superfície dos dentes por um determinado período de tempo, sendo estes determinados por um profissional capacitado.
Alguns fatores devem ser considerados antes do início do clareamento dental e devem ser controlados durante todo o processo de clareamento. Por isso o acompanhamento feito pelo profissional é fundamental para se garantir o máximo do resultado desejado. Lembrando sempre que o clareamento deve ser feito sobre dentes saudáveis e limpos. Quando os dentes não estão nestas condições, um tratamento prévio será necessário.
O paciente, quando inicia o clareamento, deve saber que somente os dentes clareiam. Restaurações e próteses não mudam de cor e poderão ser trocadas ao final do clareamento quando interferirem na estética do sorriso.
O resultado do clareamento depende do grau de coloração dos dentes, e é possível prever qual o resultado ao final antes de iniciar o tratamento. Para os casos em que o paciente deseja dentes mais claros do que o clareamento pode oferecer, outros tratamentos podem ser recomendados. Cabe a nós, especialistas, ouvir os anseios e desejos do paciente e apresentar os tratamentos mais bem indicados.
É importante salientar que NENHUMA fonte de luz (LED ou Laser) é capaz de clarear ou potencializar resultados de clareamento. Nós utilizamos protocolos de clareamento que não causam danos a saúde dos dentes, pautados em ciência e evidencias clínicas, para que desta forma possamos oferecer tratamentos de alta qualidade e duradouros.













Você está a um passo de transformar seu sorriso!


