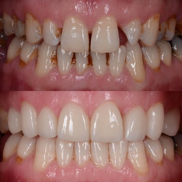
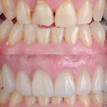
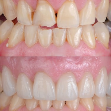
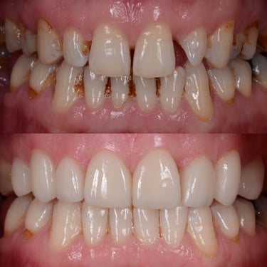
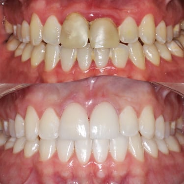
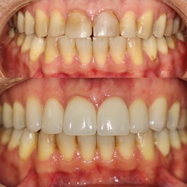
Reabilitação Oral
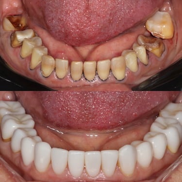
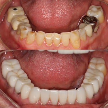
Antes de mais nada, saiba que a reabilitação oral é o nome que se dá a uma série de especialidades odontológicas que reconstroem o sorriso do paciente, restaurando tanto a harmonia estética quanto a parte funcional e saúde bucal.
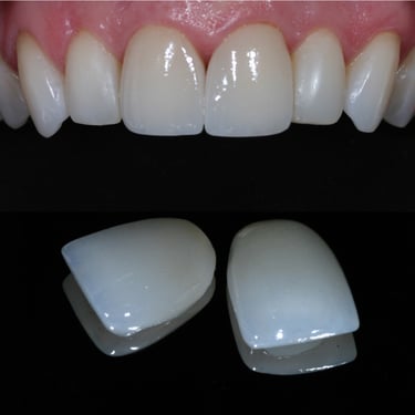
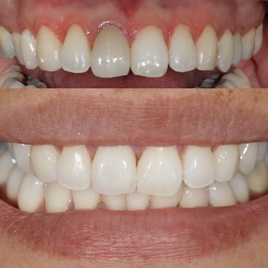
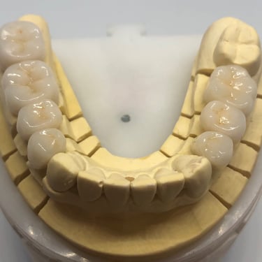
Na nossa clínica, toda construção de um novo sorriso respeita desejos e anseios do paciente. Embasados em muito conhecimento científico e evidências clínicas, contamos com o auxílio de alta tecnologia e com a precisão dos equipamentos mais modernos da Odontologia Digital. Para atingir os objetivos principais da reabilitação, que são melhorar a aparência da boca e tratar as disfunções causadas pela falta dos dentes, diversos especialistas da nossa equipe podem participar do diagnóstico, planejamento e execução. Acompanhando o paciente até o final do tratamento.
A reabilitação oral restaura os dentes perdidos ou desgastados e impacta diretamente no tratamento de disfunções bucais, como o bruxismo ou apertamento dos dentes. O tratamento pode ser parcial ou total e, dependendo do grau de comprometimento, pode necessitar ser planejado e executado por uma equipe multidisciplinar, já que diversas especialidades são envolvidas.
A sequência do tratamento é muito importante. Cada especialidade deve seguir uma sequência lógica para que o melhor resultado seja alcançado em menos tempo e com menor custo para o paciente. É importante lembrar que o Planejamento é também um meio de manter o equilíbrio da saúde bucal e prevenir que outras estruturas sejam prejudicadas. O tempo para concluir todo o processo varia, mas é certo que você deve ter cuidado com os dentes após sua conclusão. É comum, ao final do tratamento, a necessidade de uso de uma placa para proteger e prolongar o resultado.
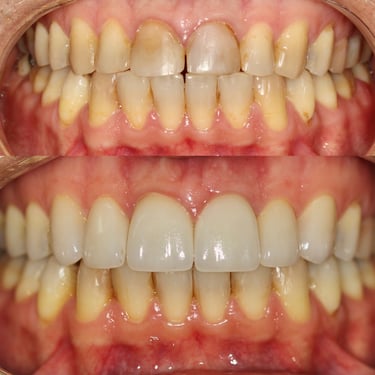
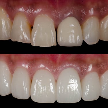
Autoestima e confiança
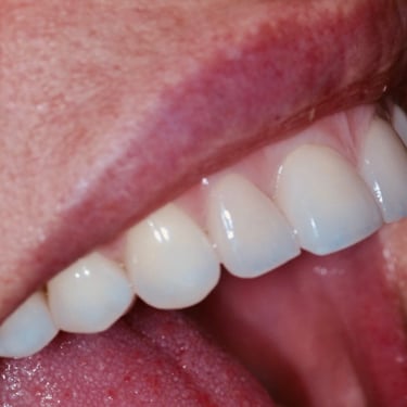
Com as redes sociais totalmente inseridas na sociedade, cresceu a preocupação com estética e beleza, principalmente com o sorriso, tão presente em “selfies” e imagens de causar inveja. A perda, desgaste ou mal posicionamento dos dentes podem causar baixa autoestima e até depressão. A reabilitação oral é a opção mais adequada para qualquer pessoa deixar a má aparência para trás e ganhar confiança com o próprio sorriso.
Dores de cabeça e zumbidos no ouvido
Estes podem ser alguns dos sinais que as articulações têmporo-mandibulares (ATMs) dão quando estão sofrendo pelo reflexo de um desgaste ou de uma má-oclusão dos dentes. A estes problemas damos o nome de Disfunção têmporo-mandibular, ou as DTMs. A reabilitação oral é o tratamento mais eficiente para melhorar os sintomas das DTMs.
Primeira consulta
Em nosso protocolo de avaliação inicial do paciente, são realizados os modelos das arcadas superior e inferior, exame clínico criterioso, fotografias internas dos arcos, fotografias do sorriso e do rosto do paciente, filmagem do paciente falando e um pedido exames adicionais, sempre que necessários. Com todo esse material, elaboramos um planejamento personalizado para a necessidade funcional e estética de cada paciente.













Você está a um passo de transformar seu sorriso!




Dra Carolina Clausson CROSP 82598
Dra Carolina Clausson CROSP 82598
Dra Carolina Clausson CROSP 82598
Dra Carolina Clausson CROSP 82598
Dra Carolina Clausson CROSP 82598
Dra Carolina Clausson CROSP 82598
Dra Carolina Clausson CROSP 82598
Dra Carolina Clausson CROSP 82598
Dra Carolina Clausson CROSP 82598
Dra Carolina Clausson CROSP 82598
Dra Carolina Clausson CROSP 82598
Dra Carolina Clausson CROSP 82598
Dra Carolina Clausson CROSP 82598
Dra Carolina Clausson CROSP 82598
Dra Carolina Clausson CROSP 82598
Dra Carolina Clausson CROSP 82598
Dra Carolina Clausson CROSP 82598
Dra Carolina Clausson CROSP 82598
Dra Carolina Clausson CROSP 82598
Dra Carolina Clausson CROSP 82598
